Patienten-info
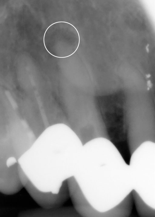
Op de eerste foto ziet uw een ontstoken kies in de rechter bovenkaak. We zien een grote kies met een ferme wortel. De punt van de wortel laat een zwarting zien. ( Zie de punt in de witte cirkel )
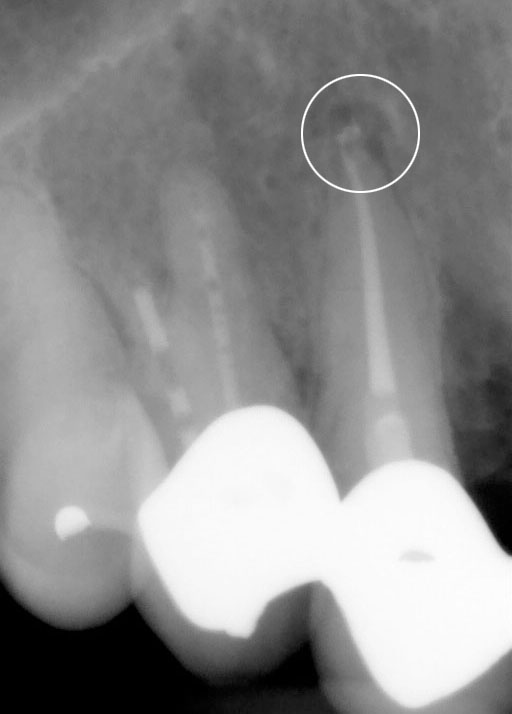
Op de tweede foto ziet u dezelfde kies net na de behandeling. Het kanaal is volledig schoon gemaakt en solide gevuld. Op de derde foto ziet u weer dezelfde kies een jaar na behandeling. De punt van de wortel laat geen zwarting meer zien en is volledig genezen.
Bekijken we de 2e foto dan zien Ook nu zien we weer 2 ferme wortels, kaakbot en wortelvlies. Kijken we naar de punten van de wortels, dan zien we nu een grote zwarting. Deze zwarting is de ontsteking. Door de ontsteking verdwijnt er kaakbot op de plaats van de ontsteking.
Soms is er in het verleden al een zenuwbehandeling gedaan en vertoont de betreffende tand of kies opnieuw een ontsteking. Vaak loont het de moeite om die behandeling opnieuw uit te voeren door de specialist. In bijna alle gevallen verdwijnen dan de klachten spontaan.
In iedere tand of kies bevindt zich een tandzenuw, dit is levend weefsel dat bestaat uit zenuwvezels en bloedvaatjes.
Soms raakt de tandzenuw ontstoken.
De oorzaak kan divers zijn, zoals een zeer grote vulling, een diep gat in de tand of kies, een harde klap op de kaak en door een val of stoot.
Patient merkt dat vaak aan het koud- en later warmgevoelig worden van de tand of kies. Vaak is bijten of kauwen niet meer mogelijk zonder pijn.
Soms komt er een bult op de kaak waar de ontstoken tand of kies zit. De pijn is dan al vaak niet meer te verdragen. De tand of kies komt iets omhoog en u bijt er continu op. Een enkele keer breekt de ontsteking spontaan door en proef u bloed en pus in de mond. De klachten nemen dan wel vaak spontaan af, maar de ontsteking blijft en doet zijn verwoestende werk.
Hart en bloedvaten kunnen worden aangetast alsmede nieren en de lever.
Kortom:
HET IS ZEER ONGEZOND OM MET EEN ONTSTEKING IN DE MOND TE BLIJVEN DOORLOPEN
BEHANDELING:
De ontstoken tand of kies wordt pijnvrij ( dus onder verdoving ) onder steriele omstandigheden inwendig volledig gereinigd en weer hermetisch afgesloten. De kies is na na afloop van de behandeling klaar voor het laten aanmeten van een kroon.
De behandeling duurt vaak 1½ à 2 uur, soms wat korter.
Patienten met een verwijzing kunnen zich hier inschrijven.




